PNGase F

Part Numbers: V4831

V4831_PNGase-F_3
customize-this-small

Recombinant Glycosidase Cloned from Elizabethkingia miricola

  • Use to determine protein glycosylation status and location
  • Cleaves N-linked oligosaccharides between innermost GlcNAc and asparagines from N-linked glycoproteins
  • Will not remove oligosaccharides found on plant glycoproteins
  • Supplied at a concentration of 10u/μl

Size

Catalog number selected: V4831

Please Enquire
This product is discontinued
This product is available under our Early Access program - Learn More
This product is available under our Catalog (FT) program - Learn More
PNGase F
500 units
Your price:

PNGase F, Recombinant Glycosidase

PNGase F is a recombinant glycosidase cloned from Elizabethkingia miricola and overexpressed in E. coli. PNGase F has a molecular weight of 36kDa. PNGase F catalyzes the cleavage of N-linked oligosaccharides between the innermost GlcNAc and asparagine residues of high mannose, hybrid and complex oligosaccharides from N-linked glycoproteins (see figure). PNGase F will not remove oligosaccharides containing Alpha-(1,3)-linked core fucose commonly found on plant glycoproteins.

Unit Definition: One unit of PNGase F will catalyze the deglycosylation of 1 nanomole of denatured Ribonuclease B (RNase B) in one minute at 37°C. One Promega unit is equal to 1 IUB milliunit.

Molecular Weight: PNGase F has a molecular weight of approximately 36kDa.

Physical Form: PNGase F is supplied as a liquid in 20mM Tris-HCl (pH 7.5 at 25°C), 50mM NaCl and 5mM EDTA at a concentration of 10,000u/ml.

Applications
  • Characterizing whether the protein is glycosylated
  • Determining the location of glycosylation on the protein
  • Characterizing the glycan structure
  • Protein trafficking
11123MA
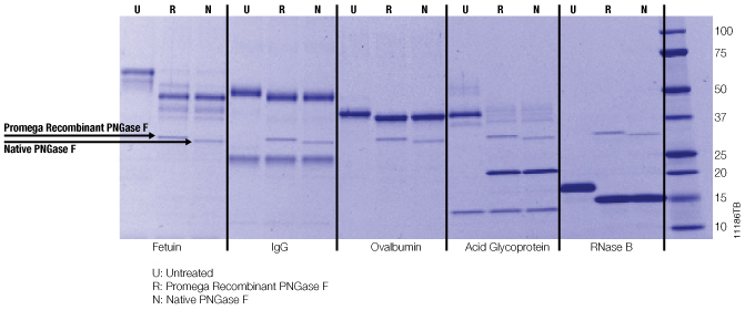
Recombinant PNGase F deglycosylates multiple substrates.

Twenty micrograms of various denatured glycoprotein standards were treated with 10 units of Promega recombinant or native PNGase F for 1 hour at 37°C. Gel shifts indicating deglycosylation were monitored by SDS-PAGE.

Schematic illustrating the use of PNGase F and mass spec analysis of N-glycosylation.

Protocols

Specifications

What's in the box?

Item Part # Size Concentration

PNGase F

V483A 1 × 500 units 10u/μl

Certificate of Analysis

Search by lot number

Use Restrictions

For Research Use Only. Not for Use in Diagnostic Procedures.

Storage Conditions

CC

Let's find the product that meets your needs.

Talk to a Scientist

scientist-uk-angus

Angus

UK